سبد خرید
0
{{item.title}}
{{item.subtitle}}
{{item.total|number}} تومان
حذف
ثبت و نهایی کردن سفارش
سبد خرید شما خالی است.
ورود
ثبتنام
قلب من
همه چیز در مورد قلب و عروق
خانه
علایم شایع قلبی
درد قفسه سينه
تنگی نفس
تپش قلب
ادم و تورم
سرگیجه و سنکوپ
عوامل خطر قلبی
فشارخون بالا
دیابت قندی
چاقی و اضافه وزن
سیگار و دخانیات
استرس و اضطراب
چربی خون بالا
سندرم متابلیک
سابقه خانوادگی بیماری قلبی
بیماریهای قلبی
بیماری عروق کرونر قلب
نارسایی قلب
دریچه های قلب
اختلال ریتم قلب(آریتمی)
ترومبوز
کاردیومیوپاتی ها
بیماریهای عروقی
قلب و سایر اعضای بدن
تست های تشخیصی
عددهای نرمال سلامتی
آزمایش خون
نوار قلب
اکوکاردیوگرافی
تست ورزش
هولتر ریتم قلب
هولتر فشار خون
اسکن هسته ای قلب
آنژیوگرافی و کاتتریسم
سی تی آنژیوگرافی قلب
درمان بیماریهای قلبی
اعمال اینترونشن
آنژیوپلاستی عروق کرونر
اینترونشن دریچه ها
اینترونشن بیماریهای مادرزادی
درمان بیماری؟
اعمال جراحی قلب
مراقبت های بعد از ...
وسایل و دستگاه های قلبی
داروخانه قلب
داروهای ضد فشارخون بالا
داروهای ضد چربی خون
داروهای ضد دیابت
داروهای کاهش وزن
مشاوره دارویی
قلب سالم من
ویدیوها
بر اساس موضوع...
کاردیوتیوب - همه ویدیوها
وبلاگ
درباره ما
کارهایی که ما انجام می دهیم..
گالری تصاویر
پزشکان و پرسنل ما
تعرفه ها و بیمه ها
خانه
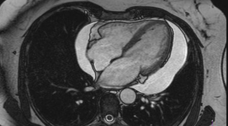
بیماریهای قلبی
التهاب و عفونت قلب
التهاب و عفونت قلب
پریکاردیت 🔗
Pericarditis
میوکاردیت 🔗
Myocarditis
اندوکاردیت 🔗
Endocarditis
کرونا ویروس 🔗
Corona Virus
روماتیسم قلبی (تب حاد روماتیسمی)
توضیح در مورد تب روماتیسمی حاد و عوارض طولانی مدّت آن بر قلب
کلینیک قلب من - انتشار مطالب با ذکر منبع بلامانع است
×
مشاهده سبدخرید
ادامه
در حال بارگذاری...
{{attribute.name}}
{{value}}
{{attribute.name}} را انتخاب کنید.
تعداد
تعداد را بنویسید.
تعداد را بیشتر از 0 بنویسید.
تعداد را کمتر از 10000000000 بنویسید.
{{getComparePrice() | number}}
{{getPrice() | number}} تومان