![]() |
| آمبولی ریه |
| مرور کلی |
| علل و ریسک فاکتور |
| علایم بیماری |
| تشخیص |
| درمان |
| پیشگیری |
ریه یکی از اعضای اصلی بدن است که وظیفه تصفیه خون از دی اکسید کربن و جایگزین کردن آن با اکسیژن را برعهده دارد. خون به اصطلاح کثیف و تیره حاوی دی اکسید کربن از اعضای بدن وارد سمت راست قلب شده و با ضربان قلب از طریق شریان ریوی (پولمونر) وارد ریه می شود. شریان ریوی داخل ریه ابتدا به دو شاخه اصلی راست و چپ که به ترتیب به نیمه راست و نیمه چپ ریه متصل هستند ، تقسیم می شود. شریان ریوی راست و چپ ، سپس به صورت تکرار شونده در داخل هر دو ریه به شاخه های کوچکتری تقسیم شده و در نهایت به مویرگ های ریوی می رسد که محل تبادل گازهای اکسیژن و دی اکسید کربن است.
بعد از آن خون تمیز و پر از اکسیژن وارد وریدهای ریوی شده و وریدهای ریوی بعد از اتصالات مداوم به یکدیگر ، وارد دهلیز چپ و سپس بطن چپ شده و با انقباض قلب در سراسر بدن پخش می گردد.

آمبولی ریه زمانی اتفاق می افتد که هر نوع جسم خارجی داخل شریان ریوی یا یکی از شاخه های آن گیر کند و مانع جریان خون داخل شریان های ریوی گردد. در اغلب موارد جسم خارجی عبارت است لخته خونی که از سیاهرگ (ورید) های پا کنده شده و در عروق ریه گیر می کند. ندرتا مواد دیگری مانند چربی هم می توانند موجب آمبولی ریه شوند.
آمبولی ریه از بیماری های نسبتا شایع است و می تواند موجب بروز عوارض متعدد و حتی مرگ و میر شود. پیش بینی می شود سالانه در حدود 15 تا 25 هزار نفر در ایران از آمبولی ریه فوت می کنند. با این حال این بیماری علل و عوامل خطر پیدایش متعددی دارد که قابل تشخیص و کنترل هستند.
علایم آمبولی ریه
شریان ریوی وظیفه مهم انتقال خون به ریه ها برای جبران اکسیژن دارد ، بنابراین انسداد جریان خون در این رگ خونی ، می تواند بر روی قلب و ریه تأثیر بگذارد و علائم کمبود اکسیژن را در بقیه بدن ایجاد کند. شایعترین علائم این بیماری عبارتند از:
تنگی نفس ، که به طور ناگهانی شروع می شود ، معمولاً در عرض چند ثانیه بعد از آمبولی ریه
درد شدید قفسه سینه
سرفه
سرفه کردن همرا با خلط خونی
درد قفسه سینه پلورتیک ، که در هنگام نفس کشیدن بدتر میشود
خس خس سینه
فشار خون پایین ، افزایش ضربان قلب ، تنفس سریع
ظاهر آبی یا کمرنگ لب و انگشتان
آریتمی قلبی (بی نظمی در ریتم قلب) ، مانند فیبریلاسیون دهلیزی ، و علائم مرتبط با آریتمی (به عنوان مثال سرگیجه ، از دست دادن هوشیاری)
علائم یا علائم DVT در یک یا هر دو پا
شدت آمبولی ریوی عموماً با اندازه انسداد مشخص می شود. اگر آمبول ریوی بزرگ باشد ، به طوری که بیشتر از 50 درصد عروق ریه را مسدود نماید ، این مورد اغلب به عنوان آمبولی ریه حجیم (Massive) توصیف می شود. این نوع از آمبولی ریه می تواند انسداد قابل توجهی در شریان ریوی ایجاد کند و منجر به دیسترس شدید قلبی عروقی ، افت فشار خون و افت شدید میزان اکسیژن خون شود یا هیپوکسی شدید که بر مغز و بقیه بدن تأثیر می گذارد.
آمبول ریوی کوچکتر باعث علائم قابل توجه کمتری می شوند ولی اگر درمان نشوند می توانند پیشرفت کرده و قسمت های بیشتری از ریه را درگیر کنند. انسداد یک یا چند عدد از شاخه های شریان های ریه می تواند به ایسکمی آن قسمت از بافت ریه ، سرفه ، خلط و خلط خونی منجر شود.
بیشتر بدانید: علایم و نشانه های آمبولی ریه
علل آمبولی ریه
عامل تقریبا تمام موارد آمبولی ریه ، تشکیل لخته خون در وریدهای پا (DVT) و کنده شدن آن و گیر افتادن آن در ریه است .
تخمین زده می شود که حدود 50٪ از افراد مبتلا به DVT درمان نشده ، آمبولی ریوی را تجربه کنند. آناتومی بدن به شکلی ساخته شده است که باعث می شود لخته های کنده شده از پا در ریه گیر کنند. لخته خون معمولا در سیاهرگ های کوچک و دریچه های لانه کبوتری ساق پا ایجاد می شود. این رگها سپس رفته رفته به یکدیگر متصل شده و خون را از پاها به سکت ورید بزرگی به نام IVC هدایت می کنند که آن هم در نهایت وارد سمت راست قلب می شود. بطن راست با انقباض خون و لخته های داخل آن را وارد شریانی که به سمت ریه می رود وارد می کند. عروق شریان ریوی رفته رفته شاخه شاخه و کوچکتر می شوند لذا لخته خون در یکی از شاخه های آن و اگر بزرگ باشد در تنه اصلی شریان ریوی گیر خواهد کرد و جلوی جریان خون ریه را خواهد گرفت.
بیشتر افرادی که آمبولی ریه دارند ، شرایط پزشکی یا شرایطی در ارتباط با ناهنجاری های لخته شدن خون دارند. عوامل خطری که می توانند موجب ایجاد لخته خون و آمبولی ریه شوند عبارتند از:
عدم تحرک در اثر فلج جسمی ، استراحت طولانی در بستر یا بستری شدن در بیمارستان
نشستن برای مدت طولانی در مسافرتهای طولانی با اتومبیل یا به ویژه در پروازهای هواپیما
تاریخچه آمبولی ریوی قبلی ، سابقه لخته شدن خون قبلی ، مانند DVT ، سکته مغزی یا حمله قلبی
بیماری های مستعد کننده برای لخته شدن خون
سیگار کشیدن
تاریخچه سرطان و / یا استفاده از شیمی درمانی
تاریخچه جراحی شکستگی استخوان ، به ویژه استخوان ران
چاقی
هورمون درمانی (از جمله درمان جایگزینی هورمون)
استفاده از قرص ضد بارداری
بارداری و دوره بعد از زایمان
بیشتر بدانید: علل ایجاد کننده آمبولی ریه
تشخیص آمبولی ریه
اولین قدم در تشخیص آمبولی ریه ، گرفتن شرح حال و بررسی علایم بالینی شما توسط پزشک است. بعد از آن شاید لازم باشد برای اثبات یا کنار گذاشتن تشخیص ، از برخی تست های آزمایشگاهی و تصویربرداری هم استفاده شود.
ارزیابی بالینی: اولین قدم در تشخیص PE ، تخمین پزشک شما از احتمال زیاد بودن یا پایین بودن آن است. پزشک شما با انجام یک تاریخچه دقیق پزشکی ، ارزیابی عوامل خطر ابتلا به DVT ، انجام معاینه جسمی ، اندازه گیری غلظت اکسیژن در خون شما و احتمالاً انجام آزمایش سونوگرافی برای جستجوی DVT ، انجام اکوکاردیوگرافی و نوار قلب ، این ارزیابی را انجام می دهد.
بعد از بررسی های اولیه بالینی و براساس احتمال ابتلا به آمبولی ریه لازم است برخی تستهای آزمایشگاهی یا تصویربرداری انجام شود:
آزمایش D-dimer: اگر احتمال بالینی آمبولی ریه کم باشد ، آزمایش D-dimer انجام می شود . آزمایش D-dimer یک آزمایش خون است که میزان غیر طبیعی ذرات و تکه های شکسته شده لخته خون را در خون شما نشان می دهد ، که اگر DVT یا PE داشته باشید ، افزایش خواهد یافت. اگر احتمال بالینی PE پایین باشد و آزمایش D-dimer شما منفی باشد ، می توان وجود بیماری آمبولی ریه را رد کرد و پزشک شما به بررسی سایر علل احتمالی علائم شما می پردازد.
اگر احتمال ابتلا به PE بسیار زیاد باشد یا آزمایش D-dimer شما مثبت باشد ، معمولاً تست های تصویربرداری دقیق مانند اسکن V / Q (اسکن تهویه / پرفیوژن) یا سی تی اسکن قفسه سینه انجام می شود.
اسکن V / Q: اسکن V / Q یک اسکن ریه است که از یک ماده رادیواکتیو ، تزریق شده به رگ ، برای ارزیابی جریان خون در بافت ریه شما استفاده می کند. اگر شریان ریوی شما تا حدودی توسط یک آمبول مسدود شده باشد ، قسمت مربوط به بافت ریه کمتر از مقدار طبیعی ماده رادیواکتیو دریافت می کند.
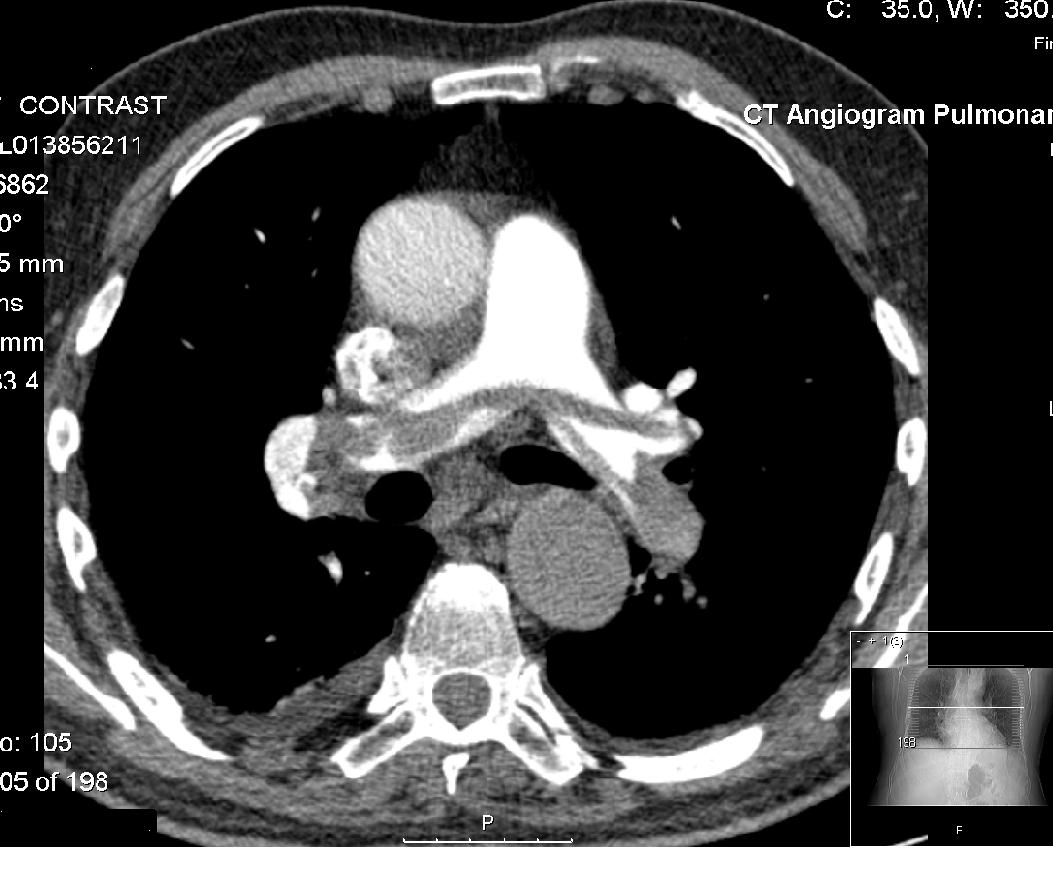
سی تی اسکن: سی تی اسکن ریه یک روش دقیق و سریع در ارزیابی آمبولی ریه است و امروزه جایگزین اسکن هسته ای و بقیه تستها شده است.
آنژیوگرام ریوی: در این روش با استفاده از لوله های باریکی به نام کاتتر ، ماده حاجب مستقیما به داخل شریان ریوی تزریق شده و با استفاده از دستگاه آنژیوگرافی تصاویر عروق ریه و لخته های داخل آن بررسی می شود. از این روش قبلا زیاد استفاده می شد ولی امروزه با وجود سی تی اسکن استفاده از آن محدودتر شده است.
بیشتر بدانید: تشخیص آمبولی ریه
درمان آمبولی ریه
پس از تشخیص آمبول ریوی ، بلافاصله درمان شروع می شود. اگر در زمان بررسی احتمال ابتلا به آمبول ریوی ، احتمال بسیار بالایی باشد ، حتی ممکن است قبل از تایید تشخیص ، درمان دارویی نیز آغاز شود.
رقیق کننده خون - داروهای ضد انعقاد خون
درمان اصلی آمبول ریوی استفاده از داروهای ضد انعقادی و رقیق کننده خون برای جلوگیری از لخته شدن خون بیشتر است. رقیق کننده خون که بطور معمول برای درمان PE استفاده می شود ، یا هپارین IV (داخل وریدی) یا مشتقی از هپارین است که به صورت تزریق زیر جلدی (زیر پوست) مانند Enoxaparin یا fondaparinux استفاده می شود. خانواده داروهای هپارین اثر ضد انعقادی آنی ایجاد می کنند و از تشکیل لخته های خون بیشتر جلوگیری می کنند.
حل کننده های لخته خون - داروهای ترومبولیتیک
هنگامی که آمبولی ریه بزرگ باشد یا باعث بی ثباتی قلبی عروقی شود ، درمان ضد انعقادی غالباً کافی نیست. در این شرایط ممکن است داروهای قوی حل کننده لخته به نام ترومبولیتیک برای حل شدن و از بین رفتن لخته خون تزریق شوند . این داروها ، که شامل عوامل فیبرینولیتیک مانند استرپتوکیناز ، آلتپلاز و اروکیناز هستند ، برای از بین بردن لخته خونی که مانع جریان خون در شریان ریوی است ، مورد استفاده قرار می گیرند.
درمان با ترومبولیتیک خطر قابل توجهی بیشتر از درمان با داروهای ضد انعقاد ، از جمله خطر بالای عوارض خونریزی جدی دارد و زمانی استفاده می شود که بیماری مهم و نهدید کننده زندگی وجود دارد و در این صورت منافع استفاده از این داروها از مضرات آن بیشتر خواهد بود.
عمل جراحی
هر زمان که سایر روش ها برای از بین بردن لخته خون مانند استفاده از داروهای فیبرینولیتیک یا روش های آنژیوگرافی و برداشتن لخته خون با آن ، موثر نباشند یا آن روشها به دلیل عوارض خاص آنها قابل انجام نباشد از جراحی باز برای این منظور استفاده می شود. جراحی روشی است که می تواند آمبولی ریه را به طور مستقیم از بین ببرد. رایج ترین عمل جراحی ، به نام جراحی آمبولکتومی ، بسیار پرخطر است و همیشه هم مؤثر نیست ، بنابراین برای افرادی که شانس بسیار کمی برای زنده ماندن بدون آن دارند ، انجام می شود.
بیشتر بخوانید: درمان آمبولی ریه
بعد از درمان اولیه
پس از مرحله اولیه PE ، شما احتیاج به برنامه ای منسجم برای تکمیل درمان و بازگشت به کار و زندگی دارید. علاوه بر آن لازم است در برخی از بیماران درمان طولانی مدت برای جلوگیری از تکرار آمبولی ریه لازم باشد.
بعد از اینکه شما مراحل درمان بیماری را طی کردید و از بیمارستان مرخص شدید ، لازم است با توجه به نوع بیماری شما و عوامل زمینه ساز آن ، برای ماه ها یا حتی سالها یک داروی ضد انعقادی خوراکی (از طریق دهان) مصرف کنید. به طور سنتی کومادین (وارفارین) داروی مورد استفاده بوده است ، اما در سالهای اخیر داروهای ضد انعقادی جدیدتر - (apixaban (Eliquis ، ریواروکسابان (Xarelto) ، edoxaban (Savaysa) و (dabigatran (Pradaxa - در طولانی مدت برای پیشگیری از آمبولی ریه مکرر ، مورد استفاده گسترده قرار گرفته اند.
فیلتر IVC در صورت ایجاد PE مكرر ، یا در زمانهایی که استفاده از داروهای رقیق کننده خون به دلیل خونریزی یا احتیاج به عمل جراحی قطع می شود ، ممكن است شما نیاز به یک فیلتر داشته باشید كه در ورید اجوف تحتانی یا IVC قرار میگیرد ، یعنی ورید بزرگ شکمی كه رگهای ساق را به قلب شما وصل می كند. این فیلتر IVC می تواند لخته های دیگری را که ممکن است از رگهای پاهای شما کنده شود ، قبل از انتقال به ریه ها متوقف کند. فیلترهای جدید IVC بعد از مدتی که مجددا داروهای رقیق کننده شروع شود ، قابل در آوردن هستند.
بیشتر بخوانید: مراقبت بعد از آمبولی ریه
پیگیری و توان بخشی بعد از آمبولی ریوی
بیماران مبتلا به آمبولی ریه احتمال دارد به عوارض مزمن آمبولی ریه مانند پرفشاری شریان ریوی یا فیبروز شدن ریه و کاهش حجم ریه مبتلا شوند. اگر شما در بررسی ها معلوم شد که این عوارض را دارید ، ممکن است لازم باشد به صورت مرتب تحت نظر پزشک قلب و ریه باشید تا درمانهای لازم صورت بگیرد.

دیدگاه خود را بنویسید