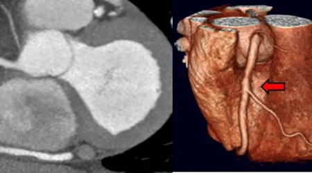
آنژیوگرافی قلب یک تست قلبی است که برای مشاهده رگ های قلب و تشخیص تنگی ها و بیماری های مربوط به عروق کرونر قلب ، انجام می شود. البته در کنار بررسی عروق کرونر قلب می توان حفرات قلب و عروق اصلی مرتبط با قلب را هم مشاهده کرد.
ابزار اصلی آنژیوگرافی قلب ، دستگاه آنژیوگرافی است که منبع تولید "اشعه ایکس" (X-Ray) است. از اشعه ایکس برای انجام بسیاری از تصاویر رادیولوژی و سی تی اسکن استفاده می شود. این اشعه در برخورد با بافت نرم بدن به راحتی عبور می کند ولی در مقابل بافت های سفت بدن ، بسته به نوع بافت ، به درجات مختلفی جذب بافت شده و در تصاویر ایجاد شده مناطق سیاه رنگ ایجاد می کند. قلب و عروق جزو بافت های نرم محسوب می شوند که اشعه ایکس به راحتی از آنها عبور کرده و تصویر مشخصی از جریان خون یا شکل قلب و عروق ، نمی تواند ایجاد کند. به همین منظور از مواد تزریقی که بتوانند اشعه ایکس را جذب کنند ، استفاده می شود. آنژیوگرافی در اصل تزریق ماده حاجب داخل رگها و حفرات قلب و تصویریرداری همزمان با اشعه ایکس است تا تصویری از همان رگ یا حفره در تصاویر آنژیوگرافی ایجاد شود. به این ترتیب اگر تنگی یا انسدادی در مسیر رگ یا حفرات قلب باشد ، ماده حاجب به آن نواحی نخواهد رسید و لذا تصویری از این مناطق هم ایجاد نخواهد شد.

روش انجام آنژیوگرافی
برای انجام آنژیوگرافی از یکی از رگ های محیطی در دسترس مانند شریان کشاله ران "فمورال" ، یا شریان مچ دست "رادیال" استفاده می شود. از طریق این رگ لوله های بلند و توخالی که اصطلاحا "کاتتر" (Catheter) نامیده می شوند ، به سمت قلب هدایت شده و بقیه کارهای آنژیوگرافی از طریق این کاتترها انجام می شود.
انواع بسیار متنوعی از کاتترها وجود دارد که هر کدام برای یک منظور خاصی استفاده می شوند. کاتترهای روتین برای آنژیوگرافی تقریبا یک متر طول و 2 میلی متر قطر دارند ولی برای موارد خاص از طول های مختلف و از قطر ۱ میلی متر تا ۸ میلی متر هم استفاده می شود.
در کنار آنژیوگرافی و تزریق ماده حاجب ، امکان اندازه گیری فشارهای داخل حفرات قلب ، فشار داخل شریان های اصلی ، فشار شریان ریوی ، اندازه گیری اختلاف فشار دو طرف دریچه های قلبی ، سوراخ های مادرزادی قلب و هم چنین اندازه گیری میزان اکسیژن خون موجود در حفره های قلب هم وجود دارد که در اصل به بررسی همودینامیک و عملکرد قلب می پردازد. به مجموعه این کارها "کاتتریزاسیون" (Catheterisation) گفته می شود. در اغلب موارد دو پروسیجر "آنژیوگرافی" و "کاتتریزاسیون" با هم و در یک زمان انجام می گیرد.
موارد استفاده از آنژیوگرافی و کاتتریسم قلب
- در موارد حمله حاد قلبی و سکته قلبی برای تشخیص رگ مسدود شده و باز کردن آن
- در صورت درد سینه یا وجود تست ورزش یا اسکن مثبت از نظر ایسکمی قلب
- قبل از عمل جراحی دریچه های قلب برای بررسی وضعیت عروق کرونر قلب
- ارزیابی عملکرد قلب و قدرت انقباض قسمت های مختلف قلب
- بررسی دریچه های قلبی از تنگی و نارسایی
- اندازه گیری فشار داخل حفرات قلب ، شریان ریوی و شریان آئورت
- بررسی بیماری های مادرزادی قلب و شدت آنها
- نمونه برداری از عضلات قلب برای بررسی التهاب ، عفونت و در مواردی بعد از پیوند قلب.
آنژیوگرافی و کاتتریسم یک پروسیجر تشخیصی است که برای تشخیص بیماری ها استفاده می شود. بعد از تشخیص بیماری قلبی برای درمان آنها براساس شدت و نوع بیماری قلبی ، می توان از جراحی قلب ، درمان دارویی یا درمان به وسیله اقدامات اینترونشن استفاده کرد. اگر انتخاب پزشک و بیمار برای درمان روش های اینترونشن باشد ، روش کار درمان بیماری قلبی تقریبا شبیه به آنژیوگرافی است و از آن می توان برای درمان بیماری های قلبی هم استفاده کرد.
عوارض آنژیوگرافی
آنژیوگرافی امروزه یک روش نسبتا سالم و کم عارضه است ولی آنژیوگرافی هم مانند بسیاری از روش های تشخیصی و درمانی با عوارضی همراه است که از موارد کم اهمیت و گذرا تا موارد شدید و حتی کشنده ، متفاوت هستند. طبیعتا پزشکان زمانی آنژیوگرافی را توصیه می کنند که میزان فایده و اطلاعاتی که برای سلامتی قلب از آنژیوگرافی به دست می آید ، بیشتر از مضرات و عوارض آن باشد.
- اکثر عوارض آنژیوگرافی مربوط به خونریزی های خفیف در محل رگ گیری برای آنژیوگرافی از کشاله ران یا مچ دست یا اصطلاحا محل "اکسس" (Access) آنژیوگرافی است.
- طپش قلب گذرا در زمان آنژیوگرافی ناشی از برخورد نوک کاتتر به جدار قلب یا در اثر تزریق ماده حاجب بوده و به سرعت هم برطرف می شود.
- برخی از بیماران به ماده حاجب مورد استفاده در آنژیوگرافی حساسیت نشان می دهند. این حساسیت در اغلب موارد محدود به یک خارش پوست به ویژه در کف دست و پا یا جوش های پوستی و کهیر است که یک یا چند روز طول می کشند. در موارد نادری احتمال پوسته پوسته شدن کف دست و پا و حساسیت های شدید مانند تنگی نفس و آنافیلاکسی هم وجود دارد. اکثر این موارد حساسیت موقتی بوده و بعد از مدتی از بین خواهند رفت.
- در موارد نادری محل آنژیوگرافی در دست و به ویژه در ناحیه کشاله ران ، خوب بسته نمی شود که این امر می تواند به خونریزی منجر شود. در برخی موارد خونریزی زیاد بوده و به صورت برجستگی یا تغییر رنگ محل آنژیوگرافی خود را نشان می دهد. در این موارد لازم است سونوگرافی از محل عارضه صورت بگیرد تا براساس نوع خونریزی و شدت عارضه تصمیم گیری شود. اغلب موارد که در حد تجمع خون (هماتوم) هستند به آرامی و در مدت چند روز برطرف خواهند شد. در صورتی که عارضه مربوط به پاره شدن دیواره رگ باشد ، معمولا با فشار دادن محل عارضه یا با بستن رگ با مواد تزریقی ، خونریزی بند می آید. در موارد بسیار نادری که حجم خونریزی زیاد باشد ، احتیاج به عمل جراحی و بستن رگ با روش های جراحی وجود دارد. البته با افزایش انجام آنژیوگرافی از راه دست ، بسیاری از موارد مهم خونریزی که مربوط به آنژیوگرافی از راه کشاله ران است ، کمتر دیده می شود.
- سکته قلبی: این عارضه بسیار نادر است. سکته قلبی در حین آنژیوگرافی می تواند از لخته شدن خون در نوک کاتتر ، مسدود شدن ناگهانی دهانه رگ های قلبی یا پاره شدن رگ قلب ایجاد شود. امروزه با استفاده از کاتترهای نرم و منعطف ، این عارضه خیلی کم دیده می شود.
- سکته مغزی: سکته مغزی در اثر جدا شدن تکه های کلسیم و چربی از دیواره عروق گردن ، و دریچه های قلب و گیر کردن آنها در عروق مغز ایجاد می شود. گاها تشکیل لخته های کوچک خون در نوک وسایل آنژیوگرافی هم می تواند دلیل سکته مغزی باشد.
- مرگ ومیر: مرگ ومیر آنژیوگرافی بسیار نادر بوده و معمولا به دنبال یکی از عارضه های مهمی که در بالا گفته شد اتفاق می افتد ، مانند خونریزی شدید ، سکته قلبی و سکته مغزی.
غیر از عوارض فوق آنژیوگرافی دو عارضه مهم دیگر هم دارد: یکی مربوط به اشعه ایکس و دومی آسیب کلیه در اثر ماده حاجب.
اشعه ایکس
اشعه ایکس به عنوان اشعه عامل ایجاد سرطان شناخته شده است و مواجهه بدون کنترل با آن در دراز مدت می تواند باعث افزایش میزان ابتلا به سرطان و بدخیمی شود. این عارضه البته غیر از بیمار متوجه پزشک ، پرستار و دیگر افرادی که در اطاق آنژیوگرافی حضور دارند هم می شود.
میزان اشعه ایکس به ویژه با دستگاه های جدید آنژیوگرافی زیاد نیست و این که این میزان از اشعه بتواند خطری برای بیمار و پرسنل داشته باشد ، اگرچه وجود دارد ولی قابل چشم پوشی است. طبیعتاً با انجام پروسیچرهای طولانی تر و یا انجام مکرر آنژیوگرافی در فواصل کوتاه و نزدیک به هم ، این خطر افزایش پیدا خواهد کرد.
آسیب به کلیه ها
ماده حاجب مورد استفاده در آنژیوگرافی به دلیل میزان بالای عنصر "ید" در ترکیب آن ، ماده حاجب خوبی برای اشعه ایکس است. انواع مختلفی از مواد حاجب رادیولوژی وجود دارد که در سال های اخیر پیشرفت های بسیار زیادی در ترکیب آنها صورت گرفته است تا عوارض آنها را به حداقل برساند. اصولا بهترین ماده حاجب ، ترکیبی است که در عین حالی که بیشترین مقدار اشعه ایکس را جذب می کند و تصاویر با وضوح بالا ایجاد می کند ، همزمان به عناصر موجود در خون متصل نشود ، برای سلول های بدن اثر سمی نداشته باشد و به راحتی از بدن ، دفع شود.
مهم ترین عارضه مواد حاجب "صدمه به کلیه" است. این عارضه به ویژه زمانی مهم است که بیمار از قبل آسیب نسبی و کم کاری کلیه داشته باشد ، زیرا ماده حاجب مورد استفاده به ویژه اگر حجم آن زیاد باشد ، می تواند موجب تشدید نارسایی کلیه و در موارد نادری ، دیالیز شود. غیر از بیماران با صدمه قبلی کلیه ، افراد دیابتی و بیماران مسن هم خطر بیشتری برای این عارضه دارند. در غیر از این موارد این آسیب معمولا ایجاد نمی شود. بیمارانی که در معرض خطر صدمه به کلیه هستند ، لازم است از قبل در مورد داروهای مصرفی و اقدامات لازم برای پیشگیری از این آسیب با پزشک قلب و در صورت لزوم با پزشک کلیه ، مشورت نمایند.
در مدت نزدیک به ۵۰ سالی که از ابداع روش آنژیوگرافی می گذرد ، این روش سال به سال در جهت انجام عمل های بهتر و کم عارضه تر متحول شده است تا اینکه امروزه تقریبا به یک عمل تقریبا سرپایی و بدون عارضه مهمی تبدیل شده است. با تغییراتی همچون:
- پیدایش کاتترهای با نوک نرم و قابل انعطاف
- مواد حاجب با دانسیته نزدیک به خون و کم عارضه
- کاتترهای نازک تر و با پروفایل بهتر
- انجام روزافزون آنژیوگرافی از دست
- دستگاه های آنژیوگرافی با حداقل میزان تابش اشعه
- و روش های بهتر درمان عوارض آنژیوگرافی
امروزه می توان تقریبا در اکثر بیمارانی که به آنژیوگرافی عروق قلب نیاز دارند ، با حداقل عارضه این کار را انجام داد.
دکتر امیرفرهنگی
کلینیک قلب من
دیدگاههای بازدیدکنندگان
عبدالله
1112 روز پیشسلام علیکم.
ارسال پاسخخداوند به شما خیر بدهد که اینگونه شرحی به موضوع آنژیوگرافی دادید.
حمید
1087 روز پیشخدا خیر تون بده بابت این همه راهنمایی
ارسال پاسخ
ناشناس
1070 روز پیشسلام من سیتی آنژیو انجام دادم خداروشکر مشکلی نبوده ولیفشلر خونم بالا وپاین میشه الانم چند وقتی هست که پشت کتف چپم درد میکنه وقتی شروع ب درد میکنه کع قبلش سر قلبم سوزنی درد میکنه
ارسال پاسخ
قلب من
1069 روز پیشبا سلام
ارسال پاسخبهتره هولتر فشارخون انجام بدین تا مشخص بشه فشارخون ندارید.
معصومه احمدی
1070 روز پیشبسیار عالی توضیح دادید ،انشاالله همیشه سلامت و شاد باشید
ارسال پاسخ
ناشناس
1056 روز پیشسلام . ممنون از،توضیحاتتون. لطفا در مورد ید مورد استفاده در انژرو گرایی نیز،توضیح بفرمایید که برای اطرافیانش ضرری ندارد؟
ارسال پاسخ
قلب من
1056 روز پیشسلام
ارسال پاسخماده ید در داخل ماده حاجب است. برخلاف ید مورد استفاده در درمان تیرویید, این ید رادیواکتیو نیست و برای بیمار و اطرافیان ضرری ندارد.
اکرم داودی
1050 روز پیشسلام من بازوی دست چپم درد می کند هنوز انژیو نرفتم ،ایا خطرناک است ،اگر انزیو انجام دادم ومشخص شد ،رگ مصدود شده دارم ،روش درمان چیست؟؟؟
ارسال پاسخ
قلب من
1050 روز پیشسلام
ارسال پاسخدرد دست چپ به معنای بیماری رگ نیست و بررسی لازم دارد. اگر بعد از بررسی آنژیو توصیه شد, انجام دهید. اگر هم رگ بسته بود با بالون یا عمل قابل درمان است.
فرشته
1004 روز پیشسلام وقت بخیر مادرم ۶۰ سالشه و اسکن قلب انجام دادن دکتر تشخیص دادن رگای قلبشون بسته و باید انژیو بشن .ولی مادرم هیچ کدوم از علائمی که شما فرمودید برای بسته بودن رگ قلب و ندارن .تنفسش عادی،درد در ناحیه قلب هم نداره ،فقط کمی درد در پشت بین دوتا کتفش داره ایا باید حتما انژیو بشه؟
ارسال پاسخ
قلب من
1000 روز پیشبا سلام
ارسال پاسخاگر دیابت دارند یا در اسکن علایم پرخطر دارند، بله باید آنژیو شوند. اگر یافته های اسکن خفیف است و دیابت ندارند، با پزشک معالج مشورت نمایید.
مهدی
998 روز پیشتشکر
ارسال پاسخ
ناشناس
968 روز پیشسلام آنژیو عوارض هم داره من پدرم آنژیو شده
ارسال پاسخ
قلب من
967 روز پیشبا سلام
ارسال پاسخبله آن؟یوگرافی عوارض متعدد ولی با درصد کمی دارد. اغلب عوارض در همان روز بروز می کند و تاخیری نیستند.
روشنک مظفری
964 روز پیشسلام مادر ضربان قلب نامنظم داره
ارسال پاسخ
قلب من
964 روز پیشسلام
ارسال پاسخلازم است نوار قلب و بررسی قلبی انجام شود تشریف بیارند در خدمتیم.
mostafa
956 روز پیشسلام برای مادرم انژیو تجویز کردن ولی مادرم آسم داره ایا خطری نداره
ارسال پاسخ
قلب من
956 روز پیشبا سلام
ارسال پاسخمعمولا مشکلی ندارد.
Said Abdul karim fuzhan
953 روز پیشسلام عليکم شب شما بخیر با قبول به ارتباط انواع ویم های آنژیوگرافی شرائین کرونر که از ویو یا زاویه بشکل استندرد آنژیوگرافی اجرا میگردد.ممنون از لطف شما.
ارسال پاسخ
ناشناس
949 روز پیشسلام من نارسایی کلیه دارم و کراتین خونم 12 هست و هفته ای سه روز دیالیز میشم و الان باید آنژیو گرافی بشم آیا میتونم آنژیو کنم؟ خطرناک نیست؟
ارسال پاسخ
قلب من
949 روز پیشبا سلام
ارسال پاسخبرای افراد دیالیزی خیر. مشکلی ندارد.
یونس علیزاده
865 روز پیشسلام استادخسته نباشید میخواستم بدونم انژیوروازکدام دست میگیرن
ارسال پاسخ
قلب من
865 روز پیشسلام
ارسال پاسخاغلب از مچ دست راست.
پسر ایرانی
949 روز پیشتشکر از توضیحات خوبتون
ارسال پاسخپدر بنده بعلت اینکه چهار روز بستری بود و چیزی نمیخورد تا دسشویی نره روز عمل لحظه اخر متوجه شدن کراتینش رفته بالا
ناشناس
866 روز پیشسلام
ارسال پاسخفردی که آنژیوقلب انجام بده،تاچه مدت زمانی نبایدبچه5ماهه نزدیکش بشه؟
باتشکر
قلب من
865 روز پیشسلام
ارسال پاسخمحدودیت از این بابت ندارد. اشعه مربوط به اسکن هسته ای است.
نسرین
856 روز پیشدرود بر شما . سپاس بابت اطلاع رسانی تون
ارسال پاسخ
صادق عمرانی
851 روز پیشسلام
ارسال پاسخباتشکر از توضیحات کامل شما.
من پدرم ۶۹ سال دارد چند سالی درگیر پروستات بود ۵سال قبل پروستات عمل انجام داد اما ۳ماه هست دوباره فشار مثانه دارد بعد مدتی سوند جواب نداد ..الان یک ماهه قلبش درد دارد آنژیو گرافی ناموفق بود..آیا با این شرایط عمل جراحی قلب انجام میشود .آیا خطری احتمال هست شکل گیرد .لطفا بفرمایید چکار انجام دهم .
قلب من
851 روز پیشسلام
ارسال پاسخلازم است سی دی آنژیوگرافی و مدارک را بیاورید تا رویت شود.
معصومه اسحاقی
849 روز پیشسلام من مادرم ۶۷ ساله وانژورفتن و جواب نداده گفتن ۳ تا از رگ هاش بسته و خشک شده ودکتر انژو گفتن عمل قلب باز بشه آیا واقعا راه دیگه ای نیست
ارسال پاسخ
قلب من
849 روز پیشسلام
ارسال پاسخلازم استتا سی دی آنژیوگرافی را بیاورید تا برای تعبیه استنت بررسی شود.
اسحاق
818 روز پیشسلام من بابام مشکل قلب دار و یه بار فنر گزاشته چند سال قبل حالا رفت دکتر میگه باید انژیو گرافی انجام بده ولی بابام نمیره میگه من درد ندارم واسه چی برم اگه بابام آنژیو گرافی نکن خطر دار یا نه
ارسال پاسخ
قلب من
818 روز پیشسلام
ارسال پاسخاگر درد قلب ندارند, اصولا تکرار آنژیو کمتر لازم است. می توانند تست ورزش یا سی تی آنژیو انجام دهتد.
نیلوفر
790 روز پیشسلام من پنجاه سالم تقریبا دوهفته است تپش قلب دارم دکتر اکو کردگفت انژیو بکنم کم خونی هم دارم گفت زیاد عظله هام هم خیلی شل ده سال پیش سرطان سینه گرفتم لوتیروکسین هم میخورم انزیو خطر داره ممنون میشم
ارسال پاسخ
قلب من
790 روز پیشسلام
ارسال پاسخآنژیوگرافی یک روش تهاجمی است و خطرات اندک ولی مشخص و مخصوص بخود را دارد.
ناشناس
752 روز پیشعالی بود ممنون
ارسال پاسخ
نادر يوسفى منش العبيدي از خرمشهر
415 روز پیشبا سلام نام بيمار نادر يوسفى منش العبيدي از خرمشهر شماره تليفن همراه09166516931
ارسال پاسخ09378161441شماره تليفن برادرش 09167706931از زحمات شما خيلي ممنونم
خانواده العبيدي با تشكر از دكتر محمد جواد معتمد ودکتر نادر افشار خیلی خیلی ممنونم درتاریخ۱۴۰۳/۸/۳با کیفیرت کامل انجام شود در لیست بیمارن بیمارستان دنا شیراز سبت شود آدرس دقیق شیراز خیابان کریم خان زند دکتو محمد جواد معتمد
محمدرضا محمدیان
300 روز پیشبا احترام اینجانب محمدرصا محمدیان ۰۹۱۴۳۱۳۶۷۷۲ در تاریخ بیست ونهم دی ماه آنژیو پلاسی شوم وسه عدد استنت بدام کارگذاشتند و بعد از آن بشدت دچار درد کتف شدم طوری که نمی توانستم بخوابم وارام ارام به زانوی سمت چپ وگردن وکمر سرایت کرد قبلا چنین مشکلی نداشتم وحالا یکماه هست کما کان درد می کشم و نمی دانمچکار بکنم پزشک هم می گوید خوب خواهی شد از آنژیو گرافی کردن پشیمان شدم لطفا راهنمایی بفرمایید
ارسال پاسخ
قلب من
298 روز پیشسلام
ارسال پاسخبا توجه به عدم اطلاع از جزییات عمل بهتر است با پزشک معالج مشورت نمایید یا مدارک پزشکی را بیاورید.
علی شیردلی
188 روز پیشسلام دکتر پدر من ۸۰ سال سن دارد دیروز در یکی از بیمارستانهای مشهد در هنگام انژو قلب دچار سکته مغزی شدند الان هم دراتاق ای سی یو است ایا علت سکته خطای پزشک است وایا با تزریق دارو رفع میشود لطفا مرا راهنمای کنید
ارسال پاسخ
قلب من
187 روز پیشسلام
ارسال پاسخعارضه مهمی است و برای بررسی علت لازم است مدارک پزشکی و فیلم آنژیو دیده شوند.
میرزای
170 روز پیشسلام من سی تی اسکن آنژیوگرافی انجام دادم گفتن دو رگ قلب رسوب کلسیم بسته فنر بالون انجام دادن آیا دیگر مشکل پیش نمی آید چند روز طول میکشد خوب
ارسال پاسخ
قلب من
169 روز پیشسلام
ارسال پاسخبیماری رسوب کلسیم در عروق احتیاج به مراقبت و مصرف داروی طولانی مدت دارد. اگر عوامل خطر قبلی ادامه داشته باشد، احتما انسداد مجدد عروق وجود دارد.