کلمه "آنژیوگرافی" به معنی دیدن و تصویربرداری از عروق بدن است ( آنژیو=رگ ، گرافی=تصویربرداری ). بصورت رایج برای دیدن رگ های بدن از اشعه ایکس استفاده می شود. اشعه ایکس در عبور از بافتهای نرم بدن جذب نشده و به راحتی می تواند از بدن عبور کند. اگر در زمان عبور اشعه ایکس از رگ های بدن - یا اصولاً هر قسمتی از بدن - مادّه حاجب و جذب کننده اشعه ایکس به آن قسمت تزریق شود، اشعه ایکس در محل جذب شده و تصویر آن قسمت بصورت کنتراست با بافتهای اطراف در تصاویر رادیولوژی ظاهر خواهد شد. با استفاده از این روش می توان تصاویر داخل عروق بدن اعمّ از شریانها یا وریدها را با استفاده ماده حاجب رادیولوژی و با بکار بردن دستگاههای تولید کننده اشعه ایکس بدست آورد و بیماریهای آنها از قبیل انسداد رگ یا پارگی آنها را مشاهده کرد. کاری که بصورت روتین با استفاده از دستگاه آنژیوگرافی انجام می پذیرد.
آنژیوگرافی چیست؟
در آنژیوگرافی روتین بیمار بر روی تخت دستگاه آنژیوگرافی قرار می گیرد. این تخت به گونه ای است که بسته به محل انجام آنژیوگرافی و عضوی از بدن که قرار است مورد تصویربرداری قرار گیرد، قابلیت چرخش و جابجایی دارد تا بتوان در پوزیشن های مناسب بهترین تصاویر را بدست آورد. بعد از تعیین پوزیشن و محل مناسب برای آنژیوگرافی مقدار مناسبی از مادّه حاجب رادیولوژی بصورت مایع به داخل رگهای مورد نظر تزریق می شود. در این روش تصویر کاملی از جریان خون داخل رگهای عضو مورد نظر مانند عروق قلب، مغز، دست، پا یا شکم با یک تصویربرداری بدست می آید و می توان بیماریهای عروقی مانند انسداد رگ یا وجود لخته در داخل رگ را به خوبی و با دقت بالا تشخیص داد. این تصاویر یا حتی فیلم تهیه شده از حرکت مادّه جاجب در داخل عروق بصورت دیجیتال قابل ذخیره سازی و انتقال است و می توان آن را از طریق نرم افزارهای ویدیویی یا تصویری مشاهده و آنالیز کرد.
در برخی از دستگاههای آنژیوگراف نرم افزارهایی وجود دارد که می توانند تصاویر پس زمینه عروق را حذف کنند و تصاویر بسیار واضح و شفاف از عروق بدن به ویژه در مناطق حساس مانند مغز و گردن ایجاد نمایند. به این مدل از تصاویر آنژیوگرافی اصطلاحاً Digital Subtraction Angiography - DSA گفته می شود.


سی تی اسکن چیست؟
سی تی اسکن یک دستگاه رادیولوژی است که می تواند اشعه ایکس از خود صادر کند. البته همانگونه که اغلب افراد دستگاه سی تی اسکن را از نزدیک دیده اند یا تصویر آن را مشاهده کرده اند، در این دستگاه محفظه تولید اشعه بصورت گرد یا بیضی درست شده است و برای تصویبرداری بیمار باید بر روی تخت سی تی اسکن بخوابد و منطقه مورد نظر برای تصویربرداری در داخل قسمت گرد یا بیضی دستگاه قرار بگیرد.

در این روش از تصویربرداری قسمت تولید کننده - گانتری- و دریافت کننده -دتکتور- اشعه ایکس بر روی یک حلقه دایره مانند در اطراف بدن فرد قرار دارند به همین دلیل تصاویر ایجاد شده از سی تی اسکن بصورت برش عرضی از بدن هستند و در حقیقت دستگاه در هر بار چرخش و تولید اشعه فقط قادر است یک برش به عرض تقریباً یک میلی متر از بدن بعنوان مثال مغز، قفسه سینه، قلب، ریه، شکم یا دست و پا را تولید نماید.

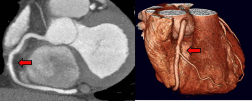
سی تی آنژیو چیست؟
در سی تی اسکن تصاویر تمام بافتهای داخل بدن بصورت یکدست و تیره ظاهر می شوند و نمی توان مابین فلب و عروق و سایر بافتهای بدن افتراق قایل شد. برای مشاهده عروق و حفرات داخل قلب لازم است همانند آنژیوگرافی روتین از مادّه حاجب رادیولوژی استفاده نمود. در این روش مقدار زیادی مادّه حاجب از طریق یکی از عروق دست به داخل حفرات بدن تزریق می شود و سپس به آن از چند ثانیه تا چند دقیقه فرصت داده می شود تا به عضو مورد نظر برای تصویربرداری مانند قلب یا مغز یا هر عضو دیگری برسد و در همان زمان تصاویر سی تی اسکن گرفته می شود.
این موضوع باعث می شود تا اشعه ایکس بوسیله مادّه حاجب جذب شده و تصاویر ایجاد شده سفید ظاهر شوند.

همانگونه که دیده می شود، تصاویر حاصل از سی تی آنژیو فقط یک برش و بصورت یک تصویر مقطعی از رگ یا حفرات بدن را نشان می دهد که برای دیدن حفرات و رگها مناسب نیست. از سوی دیگر قلب مداوماً در حال ضربان است و محل قلب و عروق آن مدام جابجا می شوند و این موضوع هم اجازه دیدن تصاویر واقعی را نمی دهد.
برای اصلاح این ایرادات از دو روش استفاده می شود:
اسکن مولتی دتکتور
در این روش تعداد لایه های تصویربرداری را افزایش می دهند. به این صورت که بجای یک دتکتور در دستگاه از چندین دتکتور در کنار هم استفاده می شود مانند دستگاههای 16، 64، 128 و حتی بیشتر که امروزه تا 512 اسلایس هم استفاده می شود. به این دستگاهها اصطلاحاً سی تی اسکن چند دتکتوری یا MDCT- Multi Detector CT گفته می شود. این تصاویر باهم می توانند اثرات حرکت قلب را خنثی نمایند. با این حال اگر تعداد ضربان قلب در زمان سی تی اسکن بیشتر از حد مجاز باشد، احتمال خطا افزایش می یابد.
بازسازی کامپیوتری
در این روش از کامپیوتر برای آنالیز و در کنار هم قرار دادن تصاویر سی تی اسکن استفاده می شود. به این صورت که گامپیوترهای قوی سی تی آنژیو می توانند از کنار هم قرار دادن مجازی تصاویر کنار هم یک تصویر طولی و حتی سه بعدی ایجاد نمایند و به این روش می توان طول رگ را مشاهده کرد و بیماریهای مختلف آن را تشخیص داد.

سی تی آنژیوگرافی در اصل بازسازی کامپیوتری تصاویر بدست آمده از سی تی اسکن عادی است و این بازسازی می تواند در پلن ها و در برش های مختلف تصویر خیلی خوب و قابل تفسیر از عروق و اعضای بدن ایجاد نماید.
مقایسه دو روش
این دو روش بسیار با هم مقایسه می شوند و برخی از افراد به دنبال پیشنهاد یکی از روش ها، روش جایگزین را هم پیشنهاد می کنند. بصورت کلّی افراد نوعی ترس و واهمه از انجام آنژیوگرافی دارند و دوست دارند با استفاده از روشهای کمتر تهاجمی کارشان انجام شود.
از نظر تکنیکی و فنّی عوامل دخیل در تستها شامل اشعه ایکس و مادّه حاجب رادیولوژی یکسان است لکن یکی با استفاده از دستگاه آنژیوگرافی انجام میشود و یکی با استفاده از دستگاه سی تی اسکن.
در آنژیوگرافی روتین ماده حاجب از طریق شریان یا ورید دست یا پا و با استفاده از لوله های باریکی بنام کاتتر صورت می گیرد و لازم است بیمار حداقل 6 ساعت تحت نظر باشد ولی در سی تی آنژیوگرافی بعد از انجام امکان ترک از رادیولوژی وجود دارد.
سی تی آنژیوگرافی می تواند علاوه از فضای داخل رگ، بافتهای اطراف رگ و دیواره رگ را هم می تواند نشان دهد در حالیکه در آنژیوگرافی روتین صرفاً فضای داخل رگ دیده می شود.
در سی تی آنژیوگرافی کلسیم جدار رگ هم دیده می شود که می تواند هم خوب باشد و هم بد. دیدن کلسیم می تواند نشان دهنده وسعت و شدّت گرفتاری عروق کرونری باشد و این می تواند در تعیین ریسک آینده کمک کننده باشد. از طرف دیگر کلسیم در سی تی روشن و شفاف دیده می شود و می تواند موجب افزایش تخمین تنگی عروق گردد. در سی تی آنژیوگرافی صرفاً تخمینی از انسداد رگ بدست می آید و این درصد از تنگی می تواند بیشتر از حد واقعی باشد.
در سی تی آنژیوگرافی امکان مداخله و باز کردن رگ وجود ندارد ولی در آنژیوگرافی امکان مداخله و باز کردن رگ هم وجود دارد. بنابراین در افرادی که احتمال بالایی برای انسداد عروق قلبی وجود دارد، بهتر است از آنژیوگرافی روتین استفاده شود. برعکس در افراد کم ریسک و افرادی که احتمال انسداد عروق قلب کم است، می توان از سی تی آنژیوگرافی استفاده کرد. گزارشات نرمال و سالم سی تی آنژیوگرافی بیشتر از گزارشات غیر سالم آن اهمیت دارد.
دیدگاههای بازدیدکنندگان
جواد حق پرست
1203 روز پیشمن خودم باید چگونه نوبت برا سی تی انژی بگیرم
ارسال پاسخ
قلب من
1202 روز پیشدرخواست سی تی آنژیوگرافی به وسیله پزشک قلب انجام شده و در مراکز رادیولوژی و سی تی اسکن انجام میشود.
ارسال پاسخ
جواداحمدزاده
1158 روز پیشباعرض سلام وخسته نباشی من دوباره انجام دادم سی تی اسکن تزریقی ولی موقعی که تزریق انجام میشود حالت تهوع میگیرم
ارسال پاسخ
قلب من
1158 روز پیشبا سلام
ارسال پاسختهوع یکی از علایم حساسیت به ماده حاجب مورد استفاده است.
ناشناس
1149 روز پیشدرودبشما..بنده قرار سی تی انژو انجام بدم.اما یکی ازهمکاران جنابعالی نظرش انژوگرافی بود،موندم چیکار کنم.
ارسال پاسخبا سپاس از حسن نیت جنابعالی🙏
قلب من
1149 روز پیشسلام
ارسال پاسخاگر دیابت دارید و درد سینه هم هست، بهتر است آنژیوگرافی کنید. اگر غیر دیابتی هستید و درد هم ندارید، سی تی بهتر است.
سعید خانی
1149 روز پیشسلام خسته نباشین
ارسال پاسخمن داداشم ومامانم عمل باز کردند،رگها گرفته بودند،میخام خودمم چکاپ بشم،اول از کجا شروع کنم؟اکو؟تست ورزش؟سی تی؟آنژیو؟
ممنون.
قلب من
1149 روز پیشبا سلام
ارسال پاسخاول آزمایش کامل خون - نوار قلب و اکو
سپس اگر درد قفسه سینه یا علایم دارید، آنژیوگرافی و اگر علایم ندارید، سی تی آنژیو
ناشناس
1026 روز پیشسی تی کن برادر سریع
ارسال پاسخ
یارعلی امیری
1148 روز پیشبا درود و عرض ادب من 23 سال پیش عمل باز قلب انجام دادم بعضی اوقات سوزش خیلی خفیف سمت چپ احساس میکنم آیا به سیتی نیاز هست؟
ارسال پاسخ
قلب من
1148 روز پیشبا سلام
ارسال پاسخدر مورد شما با توجه به گذشت سالهای زیاد از جراحی و احتمال بالای رسوب کلسیم در عروق، بهتر است اسکن هستهای یا تست ورزش انجام شود.
مهسا عبداله زاده
476 روز پیشسلام اقای دکتر احتمال داره بعد از عمل قلب باز گرفتگی عروق با دارو انژیو درمان شه ، چون پدرم ۱۸ سال پیش عمل قلب باز انجام دادن اللن گفتن بک رگش مسدوده و کلسیفیه و تنگی قابل توجه گزارشه سیتو انژیو شونه دکترش دارو داد تا دوماه ایادارو کافیه و درمان میشن؟
ارسال پاسخ
قلب من
476 روز پیشسلام
ارسال پاسخدر تنگی رگ بعد از عمل باز, بهترین درمان استنت است.
Sayed mojtaba
1142 روز پیشسلام در مورد اسکن هسته ای توضیح میدین؟
ارسال پاسخ
قلب من
1141 روز پیشبا سلام
ارسال پاسخبه مقاله اسکن هسته ای مراجعه نمایید:
https://ghalbeman.ir/%D8%A7%D9%86%D8%AC%D8%A7%D9%85-%D8%A7%D8%B3%DA%A9%D9%86-%D9%87%D8%B3%D8%AA%D9%87-%D8%A7%DB%8C-%D9%82%D9%84%D8%A8
F.kh
1141 روز پیشسلام.وقت بخیر. مطالب خوب و مفیدی بود. تشکر از جنابعالي.
ارسال پاسخ
احمدمحمودي
1138 روز پیشبا سلام واحترام بنده با مراجعه به پزشک قلب و انجام اکو .تست و نوار مورد خاصی مشاهده نشد ولی دکتر گفتند برای اطمینان خاطر سی تی انژیو انجام دهید به نظر شما ضروری است یاخیر
ارسال پاسخ
قلب من
1138 روز پیشبا سلام
ارسال پاسخدر جریان معاینه و وضعیت بالینی شما نیستم و توصیهای مبنی بر انجام یا عدم انجام نمی توانم بدهم، با اینحال سی تی آنژیو برای افرادی که علایم مبهم دارند یا سابقه خانوادگی قوی دارند یا نکاتی در تستها و نوار باشد توصیه می شود و برای اطمینان خاطر درست نیست.
مجتبی نجفی
1136 روز پیشضمن عرض سلام و خسته نباشید. بنده حدود دوماه هست که درد قفسه سینه داشته و همچنین از ناحیه پشت و دست چپ درد دارم. اخیرا تنگی نفس نیز اضافه شده. به پزشک متخصص مراجعه کردم پس از انجام نوار قلب، اکو و سی تی اسکن، پزشک معالج اعلام نمود گرفتگی مویرگ قلب دارم و باید آنژیو و یا سی تی آنژیو انجام بشه. خواستم حضرتعالی در این خصوص اعلام نظر فرمایید. با تشکر
ارسال پاسخ
قلب من
1136 روز پیشبا سلام
ارسال پاسخگر بررسی های قلبی که فرمودید مشکلی نداشته است، سی تی آنژیو بهتر است.
علی رضا احمدی
1134 روز پیشسلام من امروز اول آذر ماه۱۴۰۱نوار قلب گرفتم و اکو هم انجام دادم دکتر گفت باید سی تی انژیو انجام بدی من پنجم آذر بیمارستان دیگه ای وقت اسکن قلب دارم بنظر شما فردا سی تی آنژیو انجام بدم یا پنجم اسکن قلب انجام بدم
ارسال پاسخ
قلب من
1134 روز پیشبا سلام
ارسال پاسخسی تی آنژیو بهتره
L.k
1131 روز پیشسلام وقت بخیر و خسته نباشید
ارسال پاسخمن پدرم ۶۱ساله هست
مشکل قلبی که سال۸۸انژیوگرافی شده بود و بعد از مدتا الان تست ورزش و اکو انجام داده که دکتر سی تی انژیو گفته انجام بده میخواستم ببینم مشکل خاصی نداره این سی تی
طوری نیست که انجام بشه؟
قلب من
1131 روز پیشبا سلام
ارسال پاسخخیر اصولا نباید مشکل خاصی داشته باشد. البته به شرط سلامت کلیه و نرمال بودن کراتی نین خون
محمد علی دوامی
1129 روز پیشخیلی ممنون استفاده کردم.
ارسال پاسخاحتراما بدلیل درد در فک راست،درد در قفسه سینه و پشت در سمت راست،به پزشک مراجعه در چک آپ بالینی،نوار قلب و اکو مشکلی .آیا انجام سیتی آنژیو ضروری است.ممنون.
قلب من
1129 روز پیشبا سلام
ارسال پاسخدر مورد درد سینه معاینه و نظر پزشک معالج مهم است و اگر توصیه شده، انجام شود
بهزادی
1108 روز پیشسلام فرزندمن میگن دریچه قلب نداره چقدرخطرناک میتونه باشه
ارسال پاسخ
قلب من
1108 روز پیشبا سلام
ارسال پاسخنداشتن دریچه قلب با زندگی منافات دارد و ممکن نیست. گزارش اکو را ارسال نمایید.
جواد درودی
1106 روز پیشسلام آقای دکتر پدر بنده پنج سال پیش دوفنر گذاشتند و دیابت دارند . الان چند روزی هست اندازه یک سکه پشتشون درد میکنه که با ورزش برطرف میشه و دکتر گفتن آنژیو کنه لازم به ذکر است چند روز ایشان داغدار مادرشان هم بوده اند . نظرتون رو کلا بفرمایید واینکه آیا بهتر نیست سیتی بکنند به جای آنژیو؟
ارسال پاسخ
قلب من
1104 روز پیشبا سلام
ارسال پاسخاگر علایم به همین روال است، می توانند از تست ورزش و اسکن قلب استفاده کنند.
عبدالرضا بذرافشان
1088 روز پیشسلام من دریچه آئورت دو لتی دارم. سن۴۶سال .آینده ممکن هست چه مشکلاتی برام پیش بیاد. آیا در حال حاظر ورزش حرفه ای میتوانم انجام بدم.
ارسال پاسخ
قلب من
1087 روز پیشبا سلام
ارسال پاسخمیزان نارسایی و بیماریهای آیورت در افراد دو لتی بیشتر است ولی نگران کننده نیست و می توانید فعالیتهای عادی خود را ادامه دهید.
علی افشار
1087 روز پیشسلام و خسته نباشید یک سوال در مورد سی تی آنژیو داشتم آیا سی تی آنژیو با مواد رادیو اکتیو تزریق میشود یا نه؟ سوال بعدی اگر تزریق دارد چه مایعی تزریق میشود با تشکر
ارسال پاسخ
قلب من
1086 روز پیشسلام
ارسال پاسخماده رادیواکتیو نیست. در سی تی آنژیوگرافی ماده حاجب رادیوگرافی مانند ویزی پگ تزریق میشود.
فاطمه پشمی زاده
338 روز پیشدکتر انژیو گرافی خطرش بیشتره یا سیتی انژیو ؟از نظر ریسک اشعه؟
ارسال پاسخ
قلب من
337 روز پیشسلام
ارسال پاسخمیزان ماده حاجب و اشعه آنژیوگرافی کمتر است.
مژده اسلامی
1083 روز پیشسلام من روزشنبه سی تی انژیو انجام بدم اماچندروزه زوناگرفتم دست سمت چپ خیلی دردمیکنه اشکال نداره برم سی تی یاداروکه تزریق میکنه تداخل بازونانداره ممنونم
ارسال پاسخ
قلب من
1083 روز پیشبا سلام
ارسال پاسخخیر انجام سی تی آنژیو با زونا تداخل ندارد.
ناشناس
1080 روز پیشبا عرض سلام وتشکر از پاسخگویی به سوال های بیماران
ارسال پاسخ
ز جعفری
1070 روز پیشسلام و خدا قوت . من خانم هستم و ۴۳ سال دارم . سال ۹۸ با درد قفسه سینه و تپش قلب دکتر با بررسی های که انجام دادن گفتن اکو خوبه . در نوار قلب در قسمت وی ۱ تا ۳ اشکال هست برم سی تی آنژیو ولی ترسیدم . الان هم گاهی دارای تپش قلب میشم. چند روز پیش هم با رفتن از پله و فعالیت شدید دچار تنگی نفس ، تپش ، سنگینیه قفسه سینه شدم باز گفتن برو سی تی آنژیو . اما عوارض ان را خواندم بسیار ترسیدم . نمی دونم چه کار کنم. به نظرتون تست ورزش بهترنیست ؟. ممنون از پاسخگوییتان
ارسال پاسخ
قلب من
1070 روز پیشبا سلام
ارسال پاسخبله. تست ورزش انجام دهید و در صورت سالم بودن کار بیشتری لازم نیست.
دارابی
1068 روز پیشبا سلام و عرض خسته نباشید
ارسال پاسخمادر بنده امروز نوبت سی تی آنژیو قلب و کلیه داشتند که فقط کلیه ها انجام شده و در مرکز رادیولوژی به همراه گفتن که امکان انجام سی تی آنژیو قلب نبوده و باید جهت آنژیوگرافی و یا عمل قلب باز با پزشک مشورت کنین در صورتی که مادر بنده بجز فشارخون علامت دیگری نداشتند در صورت امکان راهنمایی بفرمایید ممنون میشم
قلب من
1068 روز پیشسلام
ارسال پاسخدر افرادی که رسوب کلسیم بسیار زیاد باشد, سی تی آنژیو قادر به دیدن داخل رگ نیست و باید آنژیو شوند.
ناشناس
1049 روز پیشسلام من اکو نوارقلب وتست ورزش انجام دادم اکو ونوارقلب سالم بود ولی دکتر گفت تست ورزش علائم خفیفی نشون میده عکس هسته برام نوشت میشه راهنمایی کنید خوبه امکان داره گرفتگی داشته باشم اینجوری مشخص میشه
ارسال پاسخ
قلب من
1049 روز پیشسلام
ارسال پاسخبرای بررسی بهتر قلبی من به جای اسکن هسته ای ، توصیه به انجام سی تی انژیو قلب می کنم برای اینکه موارد مثبت کاذب اسکن هسته ای زیاد است.
ف عباسی
1067 روز پیشسلام خسته نباشید همسرم درد قفسه سبنه و درد بین دو کتف پشت وتنگی نفس دارن دکتر سی تی از ریه و اکو گرفتن گفتن هر دو مشکل دارن باید سیتی انژیو تزریقی قلب بشن ایا سبتی انژیو قلب مانند سیتی ریه هست یا همان انژیو هست میشه لطف کنید بهم اطلاعات بدین ممنونم
ارسال پاسخ
قلب من
1067 روز پیشبا سلام
ارسال پاسخمثل سي تي اسكن است ولي با دستگاه قويتر و با استفاده از تزريق دارو
ندا
1065 روز پیشسلام. ببخشید برای انجام سیتی آنژیو بیمارستان عمومی یا خصوصی رو انتخاب کنیم؟ و تفاوت محسوسی در کیفیتشون وجود داره؟
ارسال پاسخ
قلب من
1065 روز پیشسلام
ارسال پاسخیک عامل دستگاه است که هرچه اسلایس بیشتر باشد بهتر است. ۶۴ کافی است ولی دستگاه ۳۸۴ در بیمارستان دولتی قلب رجایی و بیمارستان بانک ملی هست.
دوم هم دقت و تفسیر اپراتور که غالبا در خصوصی بهتر است.
حسین
1065 روز پیشبا سلام و تشکر از زحمات شما
ارسال پاسخمادر بنده 59 ساله هستند و سال گذشته یک بار سنگ کلیه نسبتا متوسط دفع کرده اند. فردا قرار است سیتی آنژیو انجام شود. ضمنا ایشان سالهاست که فشار خون دارد اما با دارو کنترل می شود. در یک هفته گذشته هم چند بار فشارشان بالا رفته و دوباره با افزایش دوز داروهای کنترل فشار، پایین آمده. آیا انجام سیتی آنژیو ممکن است مشکلی ایجاد کند؟ در مجموع آیا ممکن است سیتی آنژیو خطرناک باشد؟
قلب من
1064 روز پیشسلام
ارسال پاسخاگر به ماده حاجب مورد استفاده در سی تی آنژیو حساسیت نداشته باشند, خیر. جای نگرانی نیست.
بابک قاسمی خانقاه
1064 روز پیشسلام خانم بنده سال ۹۸ عمل قلب بلز انجام دادن ایشون دیابتی هم هستند مدتی که فشارش بالاست و دارو سر ساعت میخوره دکتر قلب گفتن سی تی آنژیو انجام بشه نمیدونم اون ماده حاجب براش ایجاد حساسیت نمیکنه
ارسال پاسخ
قلب من
1064 روز پیشسلام
ارسال پاسخبستگی به عدد کراتی نین خون و سابقه حساسیت به ماده حاجب دارد. اگر خوب بودند جای نگرانی نیست.
ملیحه یوسفی ۶۱ ساله
1056 روز پیشسلام و خدا قوت به شما و همکارانتون ، اطلاعات خوب و مفیدی بود با خواندن این مطالب آرامش گرفتم ودیگه استرس ندارم ، چونکه من هم در حال انجام سی تی آنژیو هستم .
ارسال پاسخ
لیلا ارانی
1056 روز پیشسلام و خسته نباشید
ارسال پاسخهمسر بنده ۵۶ ساله هستند. دو بار درد در قفسه سینه داشتند که دکتر قلب گفتند اسکن هسته ای انجام بدن. رپرت اسکن گرفتگی خفیف ذکر شده بود. دکترش گفته یا سی نی انژیو کن یا آنژیو . ولی هیچ علایمی ندارند . فقط عصبی که میشن درد تو قفسه سینه میپیچه. تست ورزش و اکو سالمه.
به نظر شما چه کار کنیم
قلب من
1055 روز پیشسلام
ارسال پاسخسی تی آنژیو انجام دهند.
علی بابایی
1035 روز پیشسلام دکتر بابای من دیابت داره پاش سیاه شده چطور میتونید کمکش کنید
ارسال پاسخ
قلب من
1034 روز پیشبا سلام
ارسال پاسخپای دیابتی علل متعددی دارد. گرفتگی عروق، عفونت، نوروپاتی و کاهش حس پا همگی دخیل هستند. لازم است اول علت تشخیص داده شده و سپس درمان شوند.
حسین درج
1031 روز پیشبا سلام ادب واحترام
ارسال پاسخضمن تقدیر وتشکر از جناب دکتر
واقعا بعد از خواندن پاسخ ها تمام سوالاتم رو پاسخ گرفتم .از خداوند بزرگ برای همه اطباء ای که بخاطر رضای خدا وتعهدی که دارند کار می کند و خالصانه به مریضان خود خدمت می کنند ، سلامتی وتندرستی مسئلت دارم .با تشکر
ناشناس
995 روز پیشسلام وو قت بخیر
ارسال پاسخمن با درد شدید کتف و قفسه سینه وفشار ۱۷ به پزشک مراجعه کردم که بعد از نوار قلب و اکو دکتربرای
بنده سیتی انژیو نوشتند فردا باید سیتی انژیو انجام بدم میترسم آقای دکتر بنظرتون مشکلی پیش نمیاد و آیا لازمه انجام بدم هنوز هم درد در قفسه سینه رو دارم
قلب من
995 روز پیشبا سلام
ارسال پاسخاگر فشارخون و درد قفسه سینه دارید، بهتر است انجام دهید.
ناشناس
965 روز پیشسلام وقت بخیر بنده ۳۶ساله هستم نوارقلب اکو اسکن هسته ای انجام دادم .نشون داد که گرفتگی رگ دارم دکتر گفت با این سن آنژیو نکنی بهتره گفتن سی تی آنژیو انجام بدم.سی تی آنژیو عکس میندازه یا درمان هم میکنه؟
ارسال پاسخ
قلب من
965 روز پیشبا سلام
ارسال پاسخانتخاب بین سی تی آنژیو یا آنژیو به سن و سال و زود بودن نیست و اگر لازم بود بهتر است انجام شود.
سی تی آنژیو صرفا تشخیصی است و درمانی نیست.
اسما نصرتی
936 روز پیشسلام و وقت بخیر بنده باردار در هفنه ۳۳ هستم و چند روز پیش بعلت تنگی نفس به پزشک مراجعه کردم و پیشنهاد سی تی آنژیو دادند.چون خیلی میترسم و بخاطر شرایطی که دارم امتناع کردم و درحال حاضر تنگی نفس خیلی بهتر شده ولی همش استرس دارم شاید چیزی بوده و بهتر بود میرفتم.در ضمن آمپل انعقاد خون دادند که استفاده میکنم.
ارسال پاسخ
قلب من
935 روز پیشبا سلام
ارسال پاسخاحتمال زیاد منظور بررسی آمبولی ریه بوده است. در دوره بارداری جایگزین های خوبی برای سی تی اسکن وجود دارد.
سحر
913 روز پیشسلام وقتتون به خیر برای سیتی آنژیو جایی که خانم انجام بده کسی رو میشناسید ؟
ارسال پاسخ
قلب من
913 روز پیشبا سلام
ارسال پاسخسی تی آنژیو بدون دخالت فرد است. معمولا بیمار قبلا لباس مناسب می پوشد و با دستگاه انجام می شود. موقع تست هم کسی داخل نیست.
محمد
913 روز پیشسلام .
ارسال پاسخببخشید من میخواهم سی تی انژیو کنم آیا در داخل دستگاه دچار نفس تنگی یا حالت تهوع نمیشوم آیا خطر داره
قلب من
913 روز پیشبا سلام
ارسال پاسخدستگاه سی تی برخلاف MRI باعث اضطراب نمی شود.
سام
900 روز پیشسلام
ارسال پاسخمیخوام سیتی آنژیو کنم ولی ماده ید دار میگن تا آخر عمر احتمال خطر ابتلا به سرطان داره ،آیا این طوره؟
قلب من
900 روز پیشبا سلام
ارسال پاسخماده مورد استفاده در سی تی آنژیو , تا 6 ساعت بعد از راه ادرار دفع میشود و هیچگونه عارضه سرطان زا یا طولانی مدت ندارد.
فرانگیز حسین خانی
897 روز پیشسلام بعد از سیتی انژید بویایی ندارم، حس بویایی، چی کار کنم، آیا آسیب دیدم، اشععه خورده بهم
ارسال پاسخ
قلب من
897 روز پیشسلام
ارسال پاسخاشعه ایکس در سی تی آنژیو به منطقه بویایی تابیده نمی شود. مورد شما احتمالا حساسیت به ماده حاجب است و لازم است موضوع را به پزشک معالج اطلاع دهید.
ناشناس
890 روز پیشسلام وقت بخیر همسرمن43داره وسابقه ایست قلبی وسکته درخانواده شون وجود داره دکترگفته بایدسی تی انژیوبشه ازکجابفهمیم که به ماده حاجب حساسیت داره یانه؟
ارسال پاسخ
قلب من
889 روز پیشسلام
ارسال پاسخمیزان حساسیت در حدی نیست که لازم باشد قبل از تست , بررسی شود. مگر اینکه از قبل به داروهای مشابه حساسیت داده باشند.
غفوری
879 روز پیشسلام آقای دکتر وقت بخیر
ارسال پاسخمادر من ۵۳ سالشه
هر از گاهی قبلش تیر میکشه و به گفته ی خودش انگار قلبش باد میکنه
پشتش و کتف هردو طرف درد میکنه و همش بدنش عرق سرد میکنه
نوار قلب و اکوی قلبش سالم بود
اما دکتر گفتن که اگر دوس دارید سی تی آنژیو انجام بدین
منم میترسم ببرمش از عوارضش میترسم بنظرتون باید انجام بشه یا نیازی نیس؟
قلب من
878 روز پیشسلام
ارسال پاسخبله حتما لازم است. باید تست دقیق مانند سی تی آنژیو یا آنژیو انجام دهند.
غفوری
713 روز پیشآخه سی تی آنژیو در آینده عوارضی نداره؟
ارسال پاسخمن توی اینترنت عوارضشو خوندم میترسم
بنظرتون بجای سی تی آنژیو اسکن قلب و تست ورزش بهتر نیس؟
قلب من
712 روز پیشسلام
ارسال پاسختست های قلبی هرکدام مورد استفاده و مثبت و منفی خودشون را دارند. لازم است با پزشک معالج در مورد انتخاب بهترین تست مشورت نمایید.
غفوری
712 روز پیشنظر شما چیه راجب سی تی آنژیو واقعا عوارض داره؟
ارسال پاسخمادر من همیشه سرفه میکنه نمیدونم مشکل از چیه بنظرتون روی این سرفه هاش تاثیر هم داره؟
قلب من
712 روز پیشسلام
ارسال پاسخاگر سرفه تا چند روز بعد از سی تی آنژیو باشد، نشانه حساسیت به ماده حاجب است.
رحیم شکرالهی
872 روز پیشبا سلام جناب دکتر حدود دو ماه است یه تیری سمت قلبم میاد دکتر رفتم اکو و نوار گرفت گفت مشکلی نیست احتمالا از معده وگوارش میباشد دارو دادند ولی گاهی اوقات با خوردن غذا این حالت رو دارم چون سمت چپ سینه درد میگیره لازمه یه سیتی آنژیو بگیرم فکرم رو خیلی درگیرکرده نکنه مشکل قلبی باشه
ارسال پاسخ
قلب من
871 روز پیشسلام
ارسال پاسخبا شرح حال شما, بعید است مشکل از عروق قلب باشد و احتیاج به سی تی آنژیو باشد. اگر اضطراب بیماری قلبی دارید, تست ورزش هم کفایت می کند. اگر سابقه دیابت یا مصرف دخانیات دارید لازم است ویزیت شوید.
پریانوری
868 روز پیشسلام و خسته نباشید ، مادر بنده از سال 85 دیابتی هستن و دارو مصرف میکنند و دکتر برای بررسی دقیق رگ های قلبشون سیتی آنژیو رو توصیه کردن و الان میخواستم بدونم که ماده حاجب در چه صورتی باعث بروز مشکل میشه؟ معمولا میانگین قند خونشون 125 هست که به گفته دکتر خوب هست اما آیا خطر بالایی داره برای افراد دیابتی ؟ آیا میتونن دارو قند خون قبل طزریق مصرف کنند؟ یک توضیح دقیق و کوتاه اگر بتونین من رو راهنمایی کنید ممنون میشم ، چون در این مورد فقط نگران هستم.
ارسال پاسخ
قلب من
867 روز پیشسلام
ارسال پاسخمصرف متفورمین قبل از تزریق ضرر دارد و بهتر است از دو روز قبل از تست قطع شود. در صورت کراتی نین کلیه کمتر از 1/5 معمولا خطر مهمی ایجاد نمی شود و جای نگرانی نیست.
ناشناس
833 روز پیشسلام عصرتون بخير
ارسال پاسخخانم ٤٥ ساله هستم پزشك براي من تحويز اسكن قلب كردند
كامنت ها رو خوندم توصيه شما بيشتر روي سيتي آنژيو هست
زمان اسكن هم كلي نگران بودم
به دليل خواد راديو اكتيو چون توسط معده م هم جذب شدند
الان هم نگران تر شدم
به نظرتون مرحله دوم رو انجام ندم؟
قلب من
833 روز پیشسلام
ارسال پاسخاگر یک مرحله اننجام شده است, کامل کنید. جای نگرانی ندارد. اگر جواب مشکلی داشت اونوقت سی تی آنژیو کنید.
ناشناس
825 روز پیشخسته نباشین من 60 سال دارم چند روز پیش معده درد شدید گرفتم به اورژانس مراجعه کردم و نوار قلب گرفتن گفتن نوار قلبتون یه کم مشکل داره بعد از چند ساعت که زیر نظر بودم وبه دستگاه قلب متصل بودم گفتن موردی نیست اما چون درد داشتم نزد دکتر گوارش رفتم و ایشون آندوسکوپی انجام داد و گفتن زخم عثنی عشر دارم وکلی دارو به من دادن و نوار قلب هم از من گرفتن و گفتن که بهتره سیتی آنژیو هم انجام بدم البته من یه کم هم قند دارم و قرص قندی که مصرف میکنم به نام پگلیمت هست و روزی یک عدد مصرف میکنم و سوالم اینه از کجا بفهمم که به این ماده ای که در سی تی آنژیو تزریق میشه حساسیت دارم و دوم اینکه من خیلی میترسم ا این سی تی آنژیو اینکه دکتر تاکیی کرده کهحتما انجام بدم نطر شما چیه ممنون از پاسخ بدین🙏🙏
ارسال پاسخ
قلب من
825 روز پیشسلام
ارسال پاسخعوارض سی تی آنژیو بسیار کم است. اگر سابقه حساسیت به دارو یا ماده حاجب دارید حتما به پزشک معالج اعلام نمایید.
علی باون پور
824 روز پیشسلام اگر کراتین دفع کنیم یا اوره سی تی انژو اشکال ندارد
ارسال پاسخ
قلب من
824 روز پیشسلام
ارسال پاسخکراتین یا اوره بالای خون ضرر دارد و در مورد ادرار مشکلی نیست.
فاطمه
819 روز پیشسلام.وقت بخیر.همسرم جدیدا ضربان قلب بالا و به دنبالش تنگی نفس داشتند.و گاهی هم درد .دکتر تشخیص تنگی دریچه دادن.و گفتن یا سیتی آنژیو و یا آنژیوگرافی کنید.ولی توضیح خاصی ندادن.الان موندم کدوم کار رو انجام بدم.لطفا راهنماییم کنید ممنون
ارسال پاسخ
قلب من
818 روز پیشسلام
ارسال پاسختنگی دریچه با اکوی قلب مشخص می شود و آنژیو یا سی تی لازم نیست.
ناشناس
818 روز پیشمن ۶۷ سال دارم تحت درمان دکتر قلب هستم این بار که برای ویزیت رفتم به پیشنهاد خانمم دکتر سیتی انژیو برام نوشت
ارسال پاسخبیمارستان بانک ملی نوبت زدم
متفورمین هم مصرف میکنم
استرس دارم خطری منو تهدید نمیکنه؟
قلب من
816 روز پیشسلام
ارسال پاسخمتفورمین باید ۴۸ ساعت قبل قطع شود.
ناشناس
814 روز پیشسلام وخسته نباشید دخترمن ۱۴ سالشه ۲سالگی عمل باز براش انجام شده امروز پزشک براش ستی آنژو نوشته دارویی دخترمن مشکوک به فاویسم هست دارویی که در سی تی آنژو استفاده میشه مشکلی براش نداره؟؟؟
ارسال پاسخ
قلب من
814 روز پیشسلام
ارسال پاسخماده حاجب سی تی موجب تشدید فاویسم نمی شود.
مریم فتحی
813 روز پیشدرود بر شما
ارسال پاسخمن 5 سال پیش توی باشگاه حین ورزش شانه چپم آسیب دید (به علت خوب گرم نکردن) . ام آر آی انجام دادم چیزی نشون نداد. 10 جلسه فیزیوتراپی رفتم و خوب نشدم. این اواخر باز دردش شروع بیشتر شده. آیا سی آنژیو می تونه داخل رگ ها رو نشون بده؟ چون به من گفتن که رگ روی رگ افتاده. با کدوم دستگاه می تونم بفهمم که داخل عروق چه خبر شده؟
قلب من
812 روز پیشسلام
ارسال پاسخمشکل رگ و عروق این علایم را ایجاد نمی کنند. منظورشون از رگ روی رگ تاندون بوده است. سی تی برای مشکل شما کمکی نمی کند.
سیما
784 روز پیشسلام من ۶۳ سال دارم ۱۵ سال پیش ابلیش انجام دادم به علت تپش قلب بالا مدتی خوب بودم ولی پراپرانول هم می خوردم الان یک مدت تپش قلب وپی وی سی دوباره شروع شده در ضمن فشار خون بالا ۱۴ رو ۹ داشتم که کنترل شد ومقداری از تپش قلبم هم کم شد همچنین کلسترول ۲۶۰ بود به نظر شما این علایم قلبی که دارم مربوط به فشار خون هست نوار قلبم سالم بود ولی تست ورزش pvc اکو سالم به نظر شما چکار کنم
ارسال پاسخ
قلب من
783 روز پیشسلام
ارسال پاسخاگر هولتر ریتم قلب و اکو قلب نرمال است، جای نگرانی نیست و کنترل فشارخون می تواند علایم را بهتر کند.
سید سجاد موسوی
781 روز پیشسلام دکتر برام سیتی آنژیو نوشته موندم انجام بدم یا نه فقط درد قفسه سینه وکتف ودست چپ دارم تست چرزشم خوب بوده نوار قلب واکو هم خوب بوده
ارسال پاسخ
قلب من
779 روز پیشسلام
ارسال پاسخبدون ویزیت و معاینه و بررسی شرایط, اظهار نظر مقدور نیست. لازم است ویزیت شوید.
سید سجاد موسوی
781 روز پیشسلام فرق بین آنژیو وسیتی آنژیو چیست
ارسال پاسخ
قلب من
779 روز پیشسلام
ارسال پاسخنوشته های مرتبط با این موضوع در سایت هست. مطالعه بفرمایید.
نسترن
779 روز پیشسلام
ارسال پاسخایا سیتی انژیو برای بیماری که هپاتیت بی غیر فعاله تاثیر داره
قلب من
779 روز پیشسلام
ارسال پاسخخیر تاثیری ندارد.
خانم احمدی
776 روز پیشسلام
ارسال پاسخبا تشکر از زحمات شما در پاسخگویی به سوالات بیماران.
خدا خیرتان دهد که دلسوزانه جواب می دهید.
امیر شوقی
769 روز پیشبا عرض سلام مادرم۷۸ سال داره فشار خون داره وزیاد استرس داره وعصبی است ازمایش کراتین هم نداده به داروی بیهوشی هم حساسیت داره سی تی براش مشکل نداره ؟ از کجا میشه فهمید به ماده حاجب حساسیت داره ؟
ارسال پاسخ
قلب من
766 روز پیشسلام
ارسال پاسخداروی بیهوشی با داروی سی تی متفاوت است و احتمال تکرار حساسیت بعید است. راهی برای پیش بینی حساسیت نیست و اصولا میزان حساسیت قابل توجه نیست.
ناشناس
767 روز پیشسلام برای غربالگری گروهی آیا می توان سی تی آنژیو کرد اگر بله برای چه رنج سنی باید انجام داد
ارسال پاسخ
قلب من
766 روز پیشسلام
ارسال پاسخبرای غربالگری ، خیر توصیه نمی شود و لازم است علایم قلبی و شک متوسط به بیماری قلبی وجود داشته باشد.
معصومه کیانی
766 روز پیشسلام آقای دکتر وقتتون بخیروخوشی امیدوارم همیشه سلامت وتندرست باشید.
ارسال پاسخبنده ۳۵سالمه واحساس تنگی نفس ودرد دست چپ بازو شانه وکتف چپ میکنم.درد حتی به آرنج وساق دستم هم منتقل میشه واحساس سنگینی تودستم میکنم که خیلی ناراحت کننده س واذیت میشم.چندباری رفتم متخصص قلب نوارقلب واکو انجام دادم که افتادگی دریچه ی میترال برام تشخیص دادن وگفتن این دردها بخاطرناراحتی واضطراب واسترسیه که داری وچیزخاصی نیست.حتی تست ورزش هم ازمن نگرفتن.ولی من واقعااذیتم ودرد دارم.باکوچکترین فعالیتی ازنفس میفتم.میشه لطفا راهنماییم کنید که چکارکنم دوباره برم دکتربگم تست ورزش انجام بدم؟یاسی تی آنژیو؟دردها طوریه که مطمئنم قلبم یه مشکلی داره ولی دکترا خیلی راحت میگن چیزی نیست😔
قلب من
766 روز پیشسلام
ارسال پاسخبهتر است تست ورزش انجام شود و بعدا در مورد علل غیر قلبی بررسی شود.
سمیراحقیقی
731 روز پیشسلام اقای دکتر من پدرم 59 سالشونه 6 سال پیش سه تا رگ گرفتگی داشتند و دوتاش که شدید بود باز کردند با استنت الان یک ماهه درد خفیف قلبی در حد 30 ثانیه دارند و احساس سنگینی نفس بنظرتون اسکن هسته ای بهتره یا سی تی انژیو براشون
ارسال پاسخ
قلب من
730 روز پیشسلام
ارسال پاسخسی تی آنژیو بهتره. البته اگر درد قلب در حد 30 ثانیه است بهتر است مستقیم آنژیو شوند.
ناشناس
718 روز پیشسلام خسته نباشید عرب ۵۵ ساله هستم حدود ۲۰روز هست که پشت شانه و وسط شانها درد داشتم مراجعه کردم متخصص قلب نوار و اکو وتست ورزش انجام دادم همه سالم بود ولی یک کمی درد دارم دکتر گفت اگه میخواهی خیالت راحت بشه برو سی تی آنژیو انجام بده راهنمایی کنید ممنونم
ارسال پاسخ
قلب من
717 روز پیشسلام
ارسال پاسخبله انجام دهید.
ناشناس
715 روز پیشسلام با تشکر از پاسخگویی مدیر سایت
ارسال پاسخ
صادقی
712 روز پیشسلام وقت بخیر اقای دکتر
ارسال پاسخبرای تشخیص گرفتگی عروق میشه از تست ورزش فهمید یا باید سی تی انژیو بشیم؟
سی تی آنژیو چه عوارضی داره؟
قلب من
712 روز پیشسلام
ارسال پاسخعوارض سی تی آنژیو به حساسیت ماده حاجب، نارسایی کلیه و مسایل مربوط به اشعه مربوط میشود. انتخاب بین این دو یهنی سی تی و تست ورزش به شرایط بالینی بیمار و نوار قلب وی مربوط میشود.
ع.جاهد
702 روز پیشسلام . وقت بخیر آقای دکتر .
ارسال پاسخبنده ۴۶ سالمه . تقریبا یه چند ساله متوجه آریتمی قلبی شدم و ریتم نوار قلبم یمقدار بهم ریخته است . یک بلوک قلبی دارم و فشار خونم بین ۱۴ و ۱۵ بود لوزارتان۲۵ تجویز شدتقریبا هفته پیش متوجه شدم فشار خونم بین ۱۹ و ۱۸ و ۱۷ میباشد و هیچ علائمی از فشار بالا ندارم . قند خونم بین ۲۲۰ تا ۲۸۰ است بدون علائم و قرص مصرف نمیکنم . گاهی مواقع سوزش درسمت چپ روسینه دارم و گاهی هم تنگی نفس خفیف . امروز اکو قلب انجام دادم الحمدالله نرمال بود . فریتینم خیلی بالاست اسید فولیک میخورم . کم خونی مینور دارم . کلسترولم لب مرزه و تریگیلیسیرینم بالاست فنوفیبرات مصرف میکنم . دکتر فرمودند سی تی آنژیو کنم . میخواستم بدونم با این موارد عوارضی از تزریق برای سی تی آنژیو برام ایجاد نمیشه ؟ لطفا نظرتان را بفرمایید ؟
قلب من
702 روز پیشسلام
ارسال پاسخاین موارد که گفتید ارتباطی به عوارض سی تی آنژیو ندارد و عوارض بسیار کم سی تی آنژیو مانند حساسیت به دارو می تواند در هر فردی محتمل باشد.
بیماریها و اعدادی که گفتید خیلی بالا هستند و لازم است درمان شوید و نداشتن علایم دلیلی بر عدم بیماری نیست.
مجید نایبی
702 روز پیشسلام روزتون بخیر جناب دکتر
ارسال پاسخپزشک قلب برای بنده سی تی آنژیو نوشته دوسالی هست که یه نودل تیروئید خوش خیم دارم و بخاطر کم کاری خفیف قرص لوو تیروکسن 50مصرف میکنم آیا می تونم سی تی آنژیو بدم
قلب من
702 روز پیشسلام
ارسال پاسخبرای ندول سرد یا کم کار مشکلی ندارد.
مجیدنایبی
699 روز پیشموفق وپیروز باشید
ارسال پاسخ
صادقی
700 روز پیشسلام آقای دکتر وقت بخیر
ارسال پاسخبا تست ورزش هم میشه انسداد رگ ها رو فهمید یا باید سی آنژیو بدیم
قلب من
699 روز پیشسلام
ارسال پاسخبله ممکن است.
غفوری
688 روز پیشسلام آقای دکتر وقت بخیر برای سی تی آنژیو مرکز قلب بریم خوبه یا شهید رجایی؟
ارسال پاسخ
قلب من
688 روز پیشسلام
ارسال پاسخشهید رجایی
غفوری
688 روز پیشممنون از پاسخ دهی سریعتون
ارسال پاسخ
ناشناس
687 روز پیشسلام رفتم پزشک جهت چکاپ قلب نوارقلب گرفتند خوب بود ازمایش چکاپ خون داشتم گفتند خوبه ولی به جای تست ورزش گفتند سی تی انژیو برای چکاپ بهتر است علایمی ندارم و ورزش روزانه هم انجام میدم ولی دلیل ایشان را نمیدانم خواستم نظر حضرتعالی را در این خصوص جویا شوم .سپاسگزلرم
ارسال پاسخ
قلب من
687 روز پیشسلام
ارسال پاسختوصیه به سی تی آنژیو با بررسی علایم بالینی و عوامل خطر انجام میشود و لازم است معایینه و شرح حال گرفته شود. اگر توصیه کننده متخصص قلب بوده است، انجام دهید. اکو و نوار نرمال نمی تواند دلیل بر سالم بودن رگهای قلب باشد.
رحیمی
686 روز پیشسلام و احترام چندسالی هست که مشکلات درد و تپش و سوزش سمت قلبم بصورت نامنظم هست یعنی یه وقتایی خوبم ولی چندروز پشت سرهم اذیت میشم و چند تا پزشک هم رفتم ولی نتیجه ای نگرفتم و مشکل حادی بمن اعلام نشده ، یه بارم ۴سال پیش انژیو شدم که گفتن گرفتگی ندارم . ولی این دردها و سوزش ها و تپش های قلبی گهگاهی خیلی آزارم میده ، نمیدونم چیکارکنم ، نوار قلب و تست و اکو هم هروقت گرفتم ، میگن مشکلی نداره ولی من واقعا اذیت میشم اگر ممکنه راهنمایی بفرمایید.
ارسال پاسخ
قلب من
684 روز پیشسلام
ارسال پاسختشریف بیاورید تا مدارک بررسی و معاینه شوید.
رضایی
683 روز پیشسلام آقای دکتر وقت بخیر
ارسال پاسخمادر من سه هفته پشت سر هم سیر و لیمو رو مخلوط کرد و جوشوند و خورد تا همین دیروز
فردا وقت سی تی آنژیو داره بنظرتون مشکلی براش پیش نمیاد با اون سیر و لیمویی که خورده؟ یعنی منظورم اینه سیر و لیمو روی رگ های قلب تاثیر بد نزاشته باشه و ماده ی حاجب ب رگ ها آسیب نمیزنه؟
قلب من
682 روز پیشسلام
ارسال پاسخمکانیسم انسداد عروق قلب ارتباطی به سیر و لیمو ندارد و ضایعه اگر باشد، نه کم میشود و نه زیاد. سی تی هم مشکلی ندارد.
ناشناس
665 روز پیشسلام خسته نباشید من ۶ ماه هست درد قفسه سینه درد خفیف البته وبازوی چپ هم درد داشت که در صورت حرکت بازو درد بیشتر حس میشد و با سرفه و نفس عمیق همقفسه سینه درد میگرفت در حالت استراحت حس نمیشود تنگی نفس لحظهای هم داشتم درد به صورتی هست که سه روز مداوم باشد و پنج روز اصلا نیست تست ورزش و اکو سالم فقط فشار خون چهارده روی نه بود که دکتر پیشنهاد سی تی قلب داد جواب نرمال بود آزمایش خون هم میزان فریتین ۳۶۳بودالان مشکل من چیه چیکار باید بکنم به کی مراجعه کنم ممنونتون شما
ارسال پاسخ
قلب من
664 روز پیشسلام
ارسال پاسخشما مشکل قلبی ندارید و بهتر است فشارخون را کنترل نمایید. پزشک داخلی یا قلب برای فشارخون
حمیدرضا زرین
390 روز پیشسلام
ارسال پاسخجناب دکتر وقت بخیر
برای انجام سی تی آنژیوگرافی در تهران کدام بیمارستان با بیمه تامین اجتماعی پایه (تکمیلی ندارم) انجام میدن؟؟ هزینه اش چقدر هست با بیمه و یا بدون بیمه؟
قلب من
387 روز پیشسلام
ارسال پاسخمرکز قلب تهران - شهید رجایی - بیمارستان میلاد - مدرس
حدود ۳ تومن با بیمه
صالح
383 روز پیشباعرض سلام خدمت آقای دکتر برای بررسی وضعیت رگها سیتی آنژیو دقیقتراست یا اسکن هسته ای؟ کلا ارزش اطلاعاتی کدامیک بیشتراست؟
ارسال پاسخ
قلب من
382 روز پیشسلام
ارسال پاسخهر کدام استفاده جداگانه ای دارند ولی سی تی آنژیو بهتر است.
امین کریمی
354 روز پیشسلام دکتر ۳۷ ساله هستم با سابقه پانیک
ارسال پاسخپدرم در ۶۵ سالگی استنت گذاشتن
قبل از اون هیچ سابقه قلبی نداشتن
خودم هم دچار یک نگرانی شدم در مورد بیماری قلبی و در ۳ ۴ سال اخیر هر سال اکو و تست ورزش و نوار رو داشتم همیشه نرمال بوده
ولی تایم هایی که استرس میگیرم یا حین ورزش که مدام نگران ضربان قلبم هستم(داروی انزیپول ۲۳/۷۵ و املودیپین ۲/۵ برای کنترل فشار خون تجویز شده) اخیرا شنیدم تعداد زیادی بیمار جوان علی رغم اکو و تست ورزش نرمال با درهای غیر تیپیک قلبی دارای گرفتگی های شدید شدن و مجبور به انژیو در سنین زیر ۵۰
به نظر شما جهت راحت شدن خیالم و اروم شدن این شرایط میتونم سیتی انژیو بدم تا یه مقدار از لحاظ استرس شرایطم نرمال بشه؟
قلب من
353 روز پیشسلام
ارسال پاسخبله بسیار خوب و کمک کننده است.
ناشناس
352 روز پیشدکتر جان یعنی بیمارایی که تست ورزش و اکوی منفی دارن بهتره سی تی انژیو هم بدن؟ یا لزومی نداره
ارسال پاسخ
قلب من
351 روز پیشسلام
ارسال پاسخدر برخی بیماران مانند افرادی که سابقه فامیلی بیماری قلبی دارند تنگی های کمتر از 70 درصد و رسوب کلسیم با تست ورزش تشخیص داده نمی شود و لازم است سی تی آنژیو شود. این درخواست بستگی به شرایط بیمار دارد.
بهمن امین
348 روز پیشبا سلام
ارسال پاسخبرای خانمم سی تی آنژیو تجویز شده است ولی در آزمایش خونی که چند روز پیش گرفتیم، اوره 45/4 ، کرآتین 1/55 و اسید اوریک 8/40 بوده است.
آیا مجاز به انجام سی تی آنژیو هست و مشکلی پیش نخواهد آمد و یا چه اقدامات پیشگیرانه انجام دهیم؟
خیلی ممنون
امین
قلب من
347 روز پیشسلام
ارسال پاسخبا این کراتی نین در صورت تشخیص پزشک معالج اگر احتمال انسداد عروق قلبی زیاد است بهتر است آنژیوگرافی با حداقل ماده حاجب انجام شود. زیرا در سی تی هم میزان ماده تزریقی زیاد است و هم اگر انسداد گزارش شود مجددا باید آنژیو شوند.
ایمان امیری
211 روز پیشسلام
ارسال پاسخاز کدام روش برای تشخیص لخته در عروق کلیه، ریه و.. میتوان استفاده کرد
و لخته فقط در شریان شناسایی می شود یا می شود لخته موجود در بافت را هم دید.
قلب من
210 روز پیشسلام
ارسال پاسخبهترین روش سی تی آنژیوگرافی و آنژیوگرافی هستند. لخته خون دارخل بافت کمتر دیده می شود و بیشتر هماتوم و خونریزی است.